



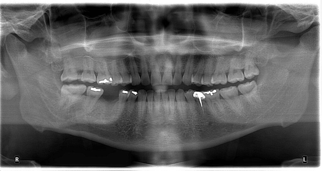
一開始只是單純的根管治療,
沒想到過程中發生器械分離的併發症,
導致牙根受損,最終只能走向拔牙 → 改做植牙 😵💫
很多人會以為,做到這裡就結束了。
但其實,真正的風險,才正要開始…
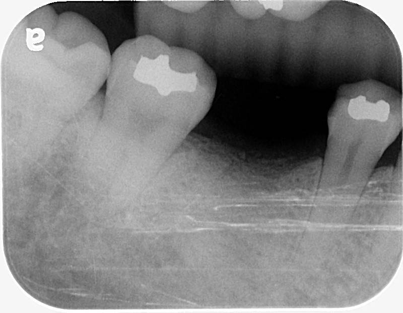
植牙後沒多久,植體出現脫落,
周圍骨頭也逐漸萎縮,
X光影像上只剩下一片明顯的黑影…
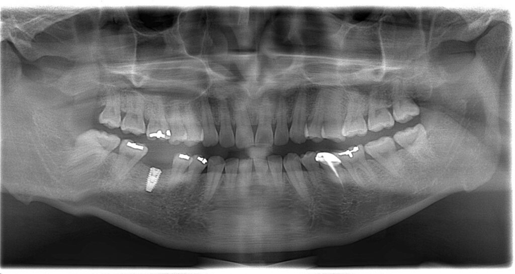
等患者再次就診時,情況已經變得更加棘手——
👉 植體已經無法維持
👉 骨頭也無法支撐新的重建
最後面對的,是一個更複雜、難度更高的缺損 💔
---
分享這個案例,不是要讓大家害怕,
而是想讓更多人知道:
🦷 如果你正在考慮植牙,請先確認三件事:
✔ 誰幫你做(專業與經驗)
✔ 用什麼做(植體來源)
✔ 做完之後,誰負責你(術後照護)
這三個問題,比價格更值得先問清楚。
⸻
🌟 謙美牙醫診所
全口重建|植牙|美學|矯正|美白|假牙|牙周|根管|兒牙
📍 新北市三重區中正北路29-2號
預約電話 ☎️ (02)2989-0212
線上預約 line:@482adqpu
🦷植牙懶人包
https://chienmeidc.com/implant-prices-why-they-vary-so-much/
預約📅門診時間
週一至週五
早09:30–12:30
午14:00–17:00
晚18:00–21:30
週六
早09:30–12:30
午14:00–17:00

