OOO 很多人諮詢第一句是:「植牙多少錢?為什麼這麼貴?」 但植牙如果只用價格做決策,常見會遇到這些長期代價:咬合受力不穩 → 容易不適、反覆調整清潔死角增加 → 植體周圍發炎風險上升規劃不足 → 後續補骨、重做機率提高...
Projects
全口重建
在謙美牙醫,我們用心記錄每一個重要時刻,從診所新訊、療程更新,到活動花絮與醫療新知,希望與您分享每一次成長與突破,讓每個微笑的故事,從這裡開始連結。


Projects
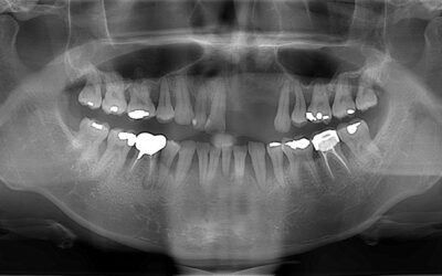
全口重建
在謙美牙醫,我們用心記錄每一個重要時刻,從診所新訊、療程更新,到活動花絮與醫療新知,希望與您分享每一次成長與突破,讓每個微笑的故事,從這裡開始連結。
長期缺牙讓他不敢大笑、不愛講話,吃東西也總是只能「挑食」。 日常講話漏風、拍照時更常因為外觀不自然而顯得尷尬 這樣的狀態下生活久了,自信以及社交生活難免受到影響。 經詳細影像與咬合評估後,李先生選擇 All-on-4...
感謝這位阿姨願意分享她的治療經驗。長期缺牙不僅影響進食,也讓臉型逐漸凹陷,笑容顯得不自然。經過專業評估後,阿姨選擇以 All-on-4 上顎全口重建 的方式,一次恢復穩定咬合與自然外觀。 🦷...
OOO ⚠️ 小心!低價植牙,風險不容忽視 一開始看到某診所的廣告,標榜植牙價格很低,覺得應該沒什麼問題,就決定嘗試。 做完不久,牙齒開始有點鬆動,牙齦也紅腫發炎。 原本以為是術後正常狀況,但幾天後咬東西時的疼痛越來越明顯。...
這是不少患者走進診間時的真心話 植牙常讓人覺得複雜、風險高 但只要由專業醫師親自評估與操作 不論是單顆或全口重建 都能做到穩定、安全、安心 #廖富洲醫師 院長親自操刀 從診斷、規劃到手術追蹤層層把關 經驗扎實、技術完整 是患者安心的關鍵...
從單顆缺牙到全口重建 提供多種數位植牙方案 導板植牙|導航植牙|舒眠植牙 微創、快速、安全、穩定 ※實際效果因人而異 治療症狀:缺牙影響咬合、美觀、自信 適用對象:希望重建牙齒功能與自然微笑者 【流程】 評估骨質與位置...
針對全口缺牙者打造的固定式重建選擇 透過在牙床中植入 4~6 根植體, 視個人條件當日可完成臨時假牙安裝, 恢復基本咀嚼功能,不需長期等待 (實際效果依個人口腔條件而異) 適合需全口重建者|期望治療時間縮短者...
整合植牙、假牙、矯正、美學與牙周等療程 針對缺牙多顆、牙齒磨耗、咬合亂等口腔全面問題進行重建 一次重建整口咬合與外觀 多科醫師聯合規劃 治療症狀:多重缺牙、牙齒磨損、咬合紊亂 適用對象:功能咬合重建需求者|活動假牙不適者 【流程】...
在牙床上植入少數幾根植體 再將活動假牙固定在植體套件上 穩定性佳、咬合力強、不易脫落 適合全口缺牙者 想改善傳統假牙鬆脫問題 保有拆卸清潔的方便性 治療症狀:全口缺牙、傳統活動假牙鬆脫 適用對象:想提升假牙穩定性|希望可拆卸清潔者...
結合3D電腦斷層掃描與電腦輔助設計製作手術導引技術 術前影像模擬,術中能精準植牙 讓手術更安全、準確,降低手術風險、縮短恢復期 ※實際效果因人而異 適合多顆植牙/需要高精度者 預測性高,術中風險低 治療症狀:缺牙、需高精度植牙...
植牙技術大升級 經驗X技術X科技 使用 3D 斷層掃描+即時導航系統 讓醫師能精準定位植體深度與角度 全程微創安全操作,減少術後疼痛和腫脹 ※實際效果因人而異 不需翻瓣 精準避開神經與鼻竇(可大幅降低損傷風險)...
台北胡先生因為長期抽菸的關係,導致他年紀輕輕就面臨嚴重的牙周問題。他的口腔狀況十分嚴峻,口內幾乎所有牙齒都鬆動,甚至因此導致左上二顆門牙缺牙。這不僅影響了他的外貌,使他總是不敢開口大笑,連吃東西時也無法細嚼慢嚥,經常胃痛。...












